En esta oportunidad, compartimos un caso clínico de canino retenido con alineadores, presentado por la Dra. Florencia Kogan durante el KeepSmiling Summit, realizado en octubre de 2022.
El tratamiento del canino retenido con alineadores se planificó por etapas, utilizando biomecánica seccionada y recursos auxiliares para lograr un posicionamiento controlado.
Motivo de consulta
Carolina acudió al consultorio de la Dra. Kogan con un objetivo claro: resolver un escalón gingival persistente en el sector del canino superior derecho (1.3 / 53), resultado de un tratamiento previo.
Diagnóstico inicial
El análisis clínico inicial evidenció:
- Línea media dentaria superior desviada hacia la derecha
- Armonía conservada de los tercios faciales
- Sonrisa dentaria con escalón gingival marcado en el sector 1.3
- Corredores bucales disímiles
- Apiñamiento dentario
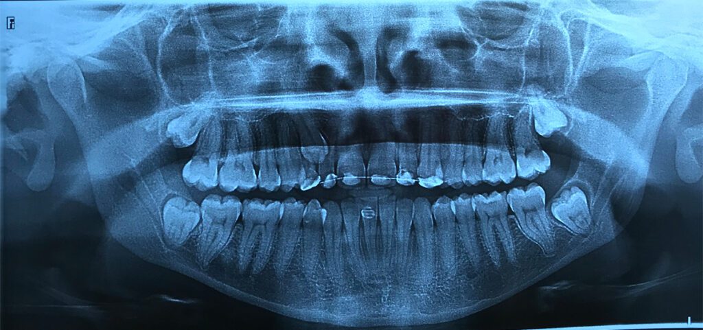
Estudios complementarios
A partir del análisis de la radiografía panorámica y los estudios tomográficos, se diagnosticó:
- Canino superior derecho (1.3) retenido
- Presencia de terceros molares retenidos

Abordaje terapéutico del canino retenido con alineadores
Para la liberación y posicionamiento del canino retenido, la Dra. Kogan optó por una estrategia de biomecánica seccionada, que permite trabajar de forma diferenciada:
- Por un lado, el alineador fue utilizado para corregir línea media dentaria, torque y forma de arcadas
- Por otro, la tracción del canino retenido se realizó mediante elementos auxiliares, evitando reacciones de fuerza indeseadas sobre el resto del sistema
Este enfoque posibilita un tratamiento más controlado y predecible en casos complejos.
Planificación del tratamiento y secuencia de movimientos
🔹 Primera etapa del tratamiento
- Etapa corta
- 13 alineadores
- Duración aproximada: 6 meses y medio
- No se utilizaron attachments en el sector posterior
- Los molares se emplearon como anclaje
Procedimientos realizados
- Liberación inicial del canino 1.3
- Colocación de un botón metálico y cadena elastomérica
- Colocación de un botón estético en gingival de la pieza 1.4
- Incorporación de un diente virtual en el alineador
- Uso de fuerzas auxiliares seccionales para la tracción del canino retenido
🔹 Segunda etapa del tratamiento
- 9 alineadores
- Colocación de attachments para la nivelación del sector anterior
Durante esta fase:
- Se incorporó progresivamente el canino al alineador
- Se utilizaron gomas elásticas como complemento
- Al finalizar la etapa, se indicaron gomas intermaxilares para comenzar a disminuir la extrusión
Con el objetivo de acelerar el tratamiento, antes de iniciar la tercera etapa se incorporó un elemento auxiliar adicional: una goma intermaxilar que permitió generar un movimiento seccionado independiente del alineador.
🔹 Tercera etapa del tratamiento
- Detalles de finalización y asentamiento
- Colocación de attachments de extrusión
- Attachments tipo en la pieza dentaria 2.1
- Asentamiento de llave canina, realizado mediante placa de contención y uso de gomas
Conclusiones del tratamiento
- Paciente predispuesta y colaboradora para encarar un segundo tratamiento
- Resolución completa en 18 meses, mediante:
- 30 alineadores
- 3 instancias de recursos auxiliares
- Excelente estabilidad y control periodontal en las fases pre, intra y post tratamiento
- Cumplimiento de los objetivos terapéuticos planteados en la planificación inicial
- Indicación de contenciones removibles en ambos maxilares
La división del tratamiento en etapas permitió evaluar la respuesta biológica de la paciente e incorporar los recursos auxiliares en el momento adecuado, asegurando una correcta finalización del caso.
Asimismo, la relación profesional–paciente fue un factor clave para lograr los resultados deseados.
Agradecimiento
Agradecemos a la Dra. Florencia Kogan por compartir este valioso caso clínico y su experiencia en el manejo de caninos retenidos con alineadores KeepSmiling.


